
Patienteninformationen
Was ist Pathologie ? Was macht ein Pathologe ?
Pathologie (von griech. „pathos“ = Leiden, „logos“ = Lehre) ist definiert als die Wissenschaft, die von den Krankheitszuständen und Krankheitsvorgängen handelt und den Ablauf von Gesundheitsstörungen analysiert.
Der Pathologe ist ein hochspezialisierter Arzt und untersucht und beurteilt Gewebe und Zellen auf krankhafte Veränderungen und insbesondere auf Krebs. Nahezujede Krebs-Diagnose wird von einem Pathologen erstellt.
Grundsätzlich erfolgt die Aufarbeitung der Gewebeproben in mehreren Stufen bis eine Diagnose feststeht (Stufendiagnostik):
Makroskopische Untersuchung von Gewebe (mit bloßen Augen): wiegen, messen, Oberfläche beschreiben, in hauchdünne Scheiben schneiden, Schnittfläche beurteilen, Gewebe aus auffälligen und wichtigen Arealen für die weitere Aufarbeitung entnehmen.
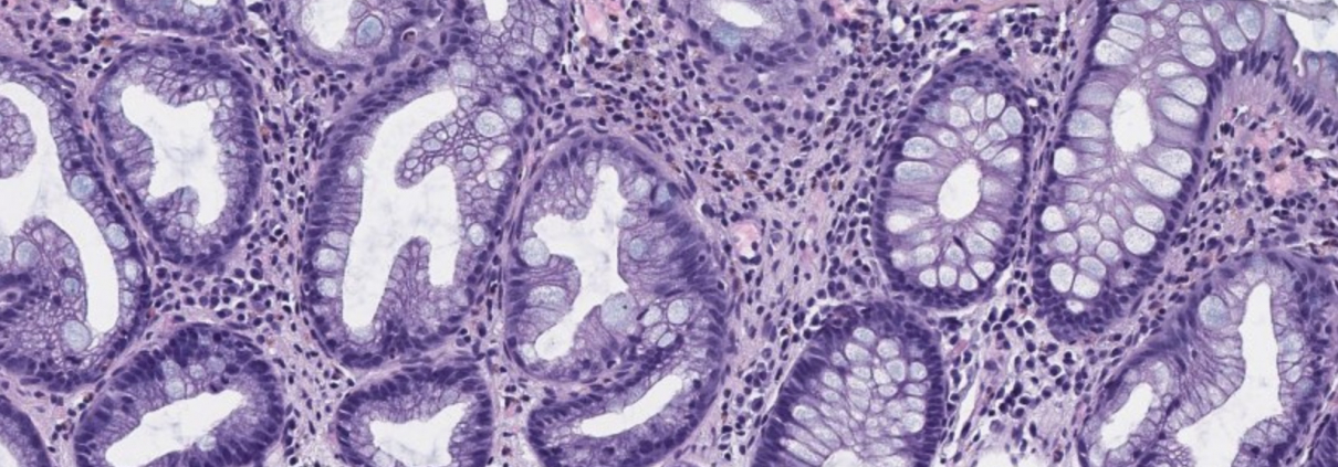
Mikroskopische Untersuchung von Gewebe (mit dem Mikroskop): Nach Aufarbeitung der auffälligen Gewebsareale durch das technische Personal werden die Präparate unter dem Mikroskop angeschaut. Sieht das Gewebe normal aus? Ist es entzündet? Findet man seltsam aussehende Zellgruppen, die weiter untersucht werden müssen? Dies geschieht mit einer bis zu 400x-fachen Vergrößerung bei der Begutachtung am Mikroskop.
Histochemische Untersuchung von Gewebe (Darstellung bestimmter Substanzen): Um auffallende Zellgruppen besser einzuordnen, können am Schnittpräparat mithilfe verschiedener chemischer Reaktionen beispielsweise Schleim oder auch Bakterien nachgewiesen werden.
Immunhistochemische Untersuchung von Gewebe (Darstellung von bestimmten Eigenschaften von Zellen): Die auffälligen Zellgruppen werden weiter untersucht, indem bestimmte Zelleigenschaften angefärbt werden. So kann herausgefunden werden, ob es sich beispielsweise um Krebszellen handelt und von welcher Sorte die Krebszellen sind. Oft kann hier schon bestimmt werden, ob eine spezielle Therapie für diese Krebsart geeignet ist.
Molekularpathologische Untersuchung von Gewebe (Darstellung genetischer Eigenschaften von Zellen): Wurde in der mikroskopischen und immunhistochemischen Untersuchung festgestellt, dass Krebszellen vorliegen, so ist es hier möglich, verschiedene genetische Eigenschaften der Krebszellen nachzuweisen, die die folgende Therapie bestimmen.
Auf Basis dieses histopathologischen (bei Gewebe), zytologischen (bei einzelnen Zellen ohne Verbund) oder genetischen Befundes (molekular) wird die Diagnose gestellt. PathologInnen sind also diejenigen, die das eventuelle Vorliegen von Krebs definitiv feststellen oder ausschließen.
Was kostet eine Untersuchung?
Diese Frage kann nicht pauschal beantwortet werden. Die Kosten richten sich nach dem Aufwand der Untersuchung und sind von Probe zu Probe unterschiedlich. Unser Institut rechnet regelhaft nach GOÄ und EBM ab.
Wie lange dauert eine Untersuchung?
Prinzipiell kann eine Aussage zur Untersuchung teilweise schon am nächsten Arbeitstag (gerechnet vom Tag des Eintreffens der Probe in unserem Institut) erfolgen. Bei erforderlichen Zusatzuntersuchungen benötigen wir mehrere Tage zur Erstellung des Berichtes.


